Η ακτινογραφία θώρακα στη διάγνωση νόσων της καρδιάς και των πνευμόνων
Η ακτινογραφία θώρακα παρέχει χρήσιμες πληροφορίες για παθολογικές καταστάσεις που εντοπίζονται στους πνεύμονες, στον υπεζωκότα, στην περιοχή του μεσοθωρακίου (συμπεριλαμβανομένης και της καρδιάς), ή στο θωρακικό τοίχωμα..
Λαμβάνεται με απόσταση δύο μέτρων μεταξύ του ακτινογραφικού σωλήνα
(πηγή παραγωγής των ακτίνων Χ) και του ανιχνευτή εικόνας (ακτινογραφικό φίλμ
στο οποίο επιδρά η ακτινοβολία αφού διέλθει μέσω του ασθενή), με τον ασθενή σε
μέγιστη εισπνοή. Συνήθως λαμβάνεται η κατά μέτωπο προβολή, συχνά και πλάγιες
προβολές. Στην ακτινογραφία ο αέρας, όπως αυτός που περιέχεται στους πνεύμονες
φαίνεται μαύρος (διαύγαση) ενώ οι μαλακοί ιστοί έχουν αποχρώσεις του γκρίζου πχ
λίπος, κοιλότητες που περιέχουν αίμα όπως η καρδιά και τα αγγεία που έχουν πυκνότερη
(λευκότερη) απόχρωση από το λίπος, ενώ πυκνά αντικείμενα που περιέχουν ασβέστιο
(οστά, επασβεστώσεις σε μεγάλα αγγεία ή βαλβίδες) ή μεταλλικά αντικείμενα (πχ
βηματοδότες, μεταλλικές καρδιακές βαλβίδες) απεικονίζονται λευκά.
Στην ακτινογραφία θώρακα εξετάζει κανείς τους πνεύμονες (την έκπτυξή τους, αν έχουν παθολογικές σκιάσεις, το μέγεθος των πνευμονικών πυλών κλπ) και την καρδιά (σχήμα, μέγεθος). Κατά τον έλεγχο της ακτινογραφίας εκτιμάται ο βαθμός έκπτυξης των πνευμόνων. Χρήσιμο στοιχείο είναι η φυσιολογική θέση και καμπυλότητα των δύο ημιδιαφραγμάτων. Σε υπερέκπτυξη των πνευμόνων, όπως συμβαίνει στη χρονία αποφρακτική πνευμονοπάθεια (ΧΑΠ), παρατηρείται σχετική επιπέδωση των ημιδιαφραγμάτων (ελαττώνεται η φυσιολογική τους καμπυλότητα και βρίσκονται σε χαμηλότερη θέση), ενώ σε ελαττωμένη έκπτυξη του ενός πνεύμονα (πχ όταν ένας λοβός του έχει ατελεκτασία), τότε το αντίστοιχο ημιδιάφραγμα βρίσκεται σε υψηλότερη θέση. Επίσης ελέγχονται οι πνεύμονες συγκρίνοντας τη μία πλευρά με την άλλη, για διηθήσεις (σκιάσεις, δηλ περιοχές που έχουν πιο λευκωπή απεικόνιση), ή υπεζωκοτική συλλογή υγρού. Επίσης ελέγχεται το μεσοθωράκιο (η κεντρική περιοχή του θώρακα) για διόγκωση των καρδιακών κοιλοτήτων ή της αορτής. Ενδιαφέρει ιδιαίτερα η διόγκωση της καρδιακής σκιάς, που αν υπάρχει θέτει υποψία καρδιακής ανεπάρκειας, βαλβιδοπάθειας, ή μεγάλης περικαρδιακής συλλογής.
Τέλος, στο κάτω μέρος της ακτινογραφίας διακρίνεται το άνω μέρος της κοιλιάς. Στο άνω μέρος της κοιλιάς μπορεί κανείς κάποιες φορές να διακρίνει χρήσιμα στοιχεία (πχ παρουσία αέρα κάτω από το δεξιό ημιδιάφραγμα, θέτει την υποψία διάτρησης κοίλου σπλάγχνου).
Στην ακτινογραφία θώρακα εξετάζει κανείς τους πνεύμονες (την έκπτυξή τους, αν έχουν παθολογικές σκιάσεις, το μέγεθος των πνευμονικών πυλών κλπ) και την καρδιά (σχήμα, μέγεθος). Κατά τον έλεγχο της ακτινογραφίας εκτιμάται ο βαθμός έκπτυξης των πνευμόνων. Χρήσιμο στοιχείο είναι η φυσιολογική θέση και καμπυλότητα των δύο ημιδιαφραγμάτων. Σε υπερέκπτυξη των πνευμόνων, όπως συμβαίνει στη χρονία αποφρακτική πνευμονοπάθεια (ΧΑΠ), παρατηρείται σχετική επιπέδωση των ημιδιαφραγμάτων (ελαττώνεται η φυσιολογική τους καμπυλότητα και βρίσκονται σε χαμηλότερη θέση), ενώ σε ελαττωμένη έκπτυξη του ενός πνεύμονα (πχ όταν ένας λοβός του έχει ατελεκτασία), τότε το αντίστοιχο ημιδιάφραγμα βρίσκεται σε υψηλότερη θέση. Επίσης ελέγχονται οι πνεύμονες συγκρίνοντας τη μία πλευρά με την άλλη, για διηθήσεις (σκιάσεις, δηλ περιοχές που έχουν πιο λευκωπή απεικόνιση), ή υπεζωκοτική συλλογή υγρού. Επίσης ελέγχεται το μεσοθωράκιο (η κεντρική περιοχή του θώρακα) για διόγκωση των καρδιακών κοιλοτήτων ή της αορτής. Ενδιαφέρει ιδιαίτερα η διόγκωση της καρδιακής σκιάς, που αν υπάρχει θέτει υποψία καρδιακής ανεπάρκειας, βαλβιδοπάθειας, ή μεγάλης περικαρδιακής συλλογής.
Τέλος, στο κάτω μέρος της ακτινογραφίας διακρίνεται το άνω μέρος της κοιλιάς. Στο άνω μέρος της κοιλιάς μπορεί κανείς κάποιες φορές να διακρίνει χρήσιμα στοιχεία (πχ παρουσία αέρα κάτω από το δεξιό ημιδιάφραγμα, θέτει την υποψία διάτρησης κοίλου σπλάγχνου).
Η καρδιά στην ακτινογραφία θώρακα εμφανίζεται ως μία
ομοιογενής σκίαση.
Στην οπισθοπρόσθια ακτινογραφία το δεξιό χείλος της
καρδιακής σκιάς στο κάτω μέρος του είναι ελαφρώς κυρτό και σχηματίζεται από το
όριο του δεξιού κόλπου. Το άνω τμήμα του δεξιού χείλους της καρδιάς είναι
σχεδόν ευθύ και σχηματίζεται από την άνω κοίλη φλέβα. Σε μερικούς ασθενείς σε
πολύ βαθιά εισπνοή είναι δυνατόν κάτω από το όριο του δεξιού κόλπου να
διακρίνεται και μικρό ευθύγραμμο όριο της κάτω κοίλης φλέβας.
Το αριστερό χείλος της καρδιακής σκιάς στο άνω τμήμα
του σχηματίζεται από το αορτικό κομβίο, μία μικρή κυρτή προσεκβολή. Είναι το
περιφερικότερο τμήμα του αορτικού τόξου στην περιοχή που μεταπίπτει στην αρχή
της κατιούσας αορτής.
Κάτω από το αορτικό κομβίο βρίσκεται το στέλεχος της
πνευμονικής αρτηρίας και αμέσως χαμηλότερα διακρίνεται βραχύ ελαφρά κοίλο ή
ευθύγραμμο όριο που ανήκει στο ωτίο του αριστερού κόλπου. Το κάτω τριτημόριο
του αριστερού χείλους της καρδιακής σκιάς είναι ελαφρά κυρτό και σχηματίζεται από το πρόσθιο και το
πλάγιο τοίχωμα της αριστερής κοιλίας.
Οι λοιπές ανατομικές δομές που διακρίνονται στην οπισθοπρόσθια ακτινογραφία αναφέρονται παρακάτω, στην παράγραφο με τίτλο "φυσιολογική ακτινολογική εικόνα των πνευμόνων".
Φυσιολογική οπισθοπρόσθια ακτινογραφία θώρακα
Η ίδια φυσιολογική οπισθοπρόσθια ακτινογραφία με ανάδειξη των επιμέρους ανατομικών στοιχείων . Τι δείχνει ο κάθε αριθμός ;
1 τραχεία 2 δεξιός κύριος βρόγχος (είναι λίγο πιο ευρύς και σχηματίζει μικρότερη γωνία με την τραχεία με συνέπεια να είναι πιο συχνή η είσοδος ενός ξένου σώματος από ότι στον αριστερό κύριο βρόγχο που εξέρχεται από την τραχεία σε κάπως πιο οριζόντια πορεία) 3 αριστερός κύριος βρόγχος 4 πρόσθια τμήματα των πλευρών (έχουν λοξή πορεία περίπου στις 45 μοίρες σε σχέση με μια νοητή οριζόντια γραμμή και διακρίνονται λιγότερο ευκρινώς από ότι τα οπίσθια τμήματα των πλευρών) 5 οπίσθια τμήματα των πλευρών (έχουν σχεδόν οριζόντια κατεύθυνση) 6 κλείδες 8 σώματα θωρακικών σπονδύλων (ένα δείγμα ικανοποιητικής ποιότητας διείσδυσης της ακτινοβολίας είναι να διακρίνονται τα σώματα των θωρακικών σπονδύλων πίσω από την καρδιά) 9 δεξιός κόλπος 10 άνω κοίλη φλέβα και επί τα εντός αυτής ανιούσα αορτή ( Σε περίπτωση ανευρύσματος της ανιούσας αορτής, το εξωτερικό χείλος της ανιούσας αορτής προβάλλει σαφώς σε αυτή τη θέση) 11 αορτικό κομβίο (το τελικό τμήμα του αορτικού τόξου που μεταπίπτει στην κατιούσα αορτή) 12 αορτοπνευμονικό παράθυρο (ανατομικός χώρος μεταξύ του αορτικού τόξου και της αριστερής πνευμονικής αρτηρίας) 13 στέλεχος της πνευμονικής αρτηρίας 14 πύλη του αριστερού πνεύμονα με τα αριστερά πνευμονικά αγγεία (αρτηρίες και φλέβες) 15 πύλη δεξιού πνεύμονα με τα δεξιά πνευμονικά αγγεία (αρτηρίες και φλέβες) 16 ωτίο του αριστερού κόλπου 17 αριστερή κοιλία 18 δεξιά κοιλία 19 παρυφή κατιούσας αορτής 20 δεξιό ημιδιάφραγμα 21 αριστερό ημιδιάφραγμα 22 δεξιά πλευροδιαφραγματική γωνία 23 αριστερή πλευροδιαφραγματική γωνία 24 ωμοπλάτη 25 αριστερή υποκλείδια αρτηρία (το πορτοκαλί βέλος)
Φυσιολογική πλάγια ακτινογραφία θώρακα
Οι λοιπές ανατομικές δομές που διακρίνονται στην οπισθοπρόσθια ακτινογραφία αναφέρονται παρακάτω, στην παράγραφο με τίτλο "φυσιολογική ακτινολογική εικόνα των πνευμόνων".
Φυσιολογική οπισθοπρόσθια ακτινογραφία θώρακα
Η ίδια φυσιολογική οπισθοπρόσθια ακτινογραφία με ανάδειξη των επιμέρους ανατομικών στοιχείων . Τι δείχνει ο κάθε αριθμός ;
1 τραχεία 2 δεξιός κύριος βρόγχος (είναι λίγο πιο ευρύς και σχηματίζει μικρότερη γωνία με την τραχεία με συνέπεια να είναι πιο συχνή η είσοδος ενός ξένου σώματος από ότι στον αριστερό κύριο βρόγχο που εξέρχεται από την τραχεία σε κάπως πιο οριζόντια πορεία) 3 αριστερός κύριος βρόγχος 4 πρόσθια τμήματα των πλευρών (έχουν λοξή πορεία περίπου στις 45 μοίρες σε σχέση με μια νοητή οριζόντια γραμμή και διακρίνονται λιγότερο ευκρινώς από ότι τα οπίσθια τμήματα των πλευρών) 5 οπίσθια τμήματα των πλευρών (έχουν σχεδόν οριζόντια κατεύθυνση) 6 κλείδες 8 σώματα θωρακικών σπονδύλων (ένα δείγμα ικανοποιητικής ποιότητας διείσδυσης της ακτινοβολίας είναι να διακρίνονται τα σώματα των θωρακικών σπονδύλων πίσω από την καρδιά) 9 δεξιός κόλπος 10 άνω κοίλη φλέβα και επί τα εντός αυτής ανιούσα αορτή ( Σε περίπτωση ανευρύσματος της ανιούσας αορτής, το εξωτερικό χείλος της ανιούσας αορτής προβάλλει σαφώς σε αυτή τη θέση) 11 αορτικό κομβίο (το τελικό τμήμα του αορτικού τόξου που μεταπίπτει στην κατιούσα αορτή) 12 αορτοπνευμονικό παράθυρο (ανατομικός χώρος μεταξύ του αορτικού τόξου και της αριστερής πνευμονικής αρτηρίας) 13 στέλεχος της πνευμονικής αρτηρίας 14 πύλη του αριστερού πνεύμονα με τα αριστερά πνευμονικά αγγεία (αρτηρίες και φλέβες) 15 πύλη δεξιού πνεύμονα με τα δεξιά πνευμονικά αγγεία (αρτηρίες και φλέβες) 16 ωτίο του αριστερού κόλπου 17 αριστερή κοιλία 18 δεξιά κοιλία 19 παρυφή κατιούσας αορτής 20 δεξιό ημιδιάφραγμα 21 αριστερό ημιδιάφραγμα 22 δεξιά πλευροδιαφραγματική γωνία 23 αριστερή πλευροδιαφραγματική γωνία 24 ωμοπλάτη 25 αριστερή υποκλείδια αρτηρία (το πορτοκαλί βέλος)
Φυσιολογική πλάγια ακτινογραφία θώρακα
Η πλάγια ακτινογραφία θώρακος επίσης λαμβάνεται σε βαθιά εισπνοή και με απόσταση δύο μέτρων μεταξύ του ακτινογραφικού σωλήνα (πηγή παραγωγής των ακτίνων Χ) και του ανιχνευτή εικόνας (ακτινογραφικό φίλμ), όπως και η οπισθοπρόσθια ακτινογραφία. Προτιμάται η αριστερή πλάγια (δηλαδή με το αριστερό πλάγιο του ασθενή σε επαφή με το φίλμ), επειδή σε αυτή τη λήψη η πύλη του δεξιού πνεύμονα προβάλλεται μπροστά από την πύλη του αριστερού. Συνεπώς, η αριστερή πλάγια λήψη επιτρέπει τη διάκριση μεταξύ των δύο πνευμονικών πυλών. Αντίθετα στη δεξιά πλάγια λήψη οι δύο πύλες επιπροβάλλονται.
Στην πλάγια ακτινογραφία θώρακος η καρδιά βρίσκεται στο πρόσθιο τμήμα του θώρακα. Το πρόσθιο χείλος της καρδιακής σκιάς στο άνω μέρος του σχηματίζεται από το χώρο εξόδου της δεξιάς κοιλίας, ενώ στο κάτω μέρος του από το κυρίως σώμα της δεξιάς κοιλίας.
Στην πλάγια ακτινογραφία θώρακος η καρδιά βρίσκεται στο πρόσθιο τμήμα του θώρακα. Το πρόσθιο χείλος της καρδιακής σκιάς στο άνω μέρος του σχηματίζεται από το χώρο εξόδου της δεξιάς κοιλίας, ενώ στο κάτω μέρος του από το κυρίως σώμα της δεξιάς κοιλίας.
Η δεξιά κοιλία εφάπτεται με το κάτω τριτημόριο του
στέρνου. Μεταξύ του ανώτερου τμήματος του πρόσθιου χείλους της καρδιάς και του
προσθίου θωρακικού τοιχώματος απεικονίζεται πνευμονικός ιστός που σχηματίζει
έναν οπισθοστερνικό διαυγαστικό χώρο. Το οπίσθιο χείλος της καρδιακής σκιάς στο
άνω τμήμα του σχηματίζεται από το οπίσθιο τοίχωμα του αριστερού κόλπου και στο
κάτω τμήμα του από το οπίσθιο τοίχωμα της αριστερής κοιλίας. Το πρόσθιο χείλος της καρδιακής σκιάς συνεχίζει προς τα πάνω στην ανιούσα αορτή, η οποία στο άνω μεσαίο
πεδίο της πλάγιας ακτινογραφίας, πάνω από τη σκιά της καρδιάς ανακάμπτει στο
αορτικό τόξο. Το αορτικό τόξο συνεχίζει προς τα κάτω και πίσω από την καρδιακή σκιά στην
κατιούσα θωρακική αορτή. Επίσης στο άνω μέσο πεδίο της πλάγιας ακτινογραφίας διακρίνεται και η τραχεία ως μία
διαυγαστική σωληνώδης δομή και λίγο πιο κάτω από το πέρας της τραχείας διακρίνονται δύο μικρές κυκλικές διαυγάσεις. Αυτές χωρίζουν τα αγγεία των δύο πνευμονικών πυλών και αποτελούν την έκφυση του δεξιού άνω λοβαίου βρόγχου και κάτω από αυτή βρίσκεται η έκφυση του αριστερού άνω λοβαίου βρόγχου.
Οι πύλες των πνευμόνων διακρίνονται περίπου στο κέντρο της πλάγιας ακτινογραφίας. Το πρόσθιο τμήμα της σκιάς των πυλών στην αριστερή πλάγια ακτινογραφία σχηματίζεται κυρίως από τη δεξιά πνευμονική αρτηρία. Η αριστερή πνευμονική αρτηρία διακρίνεται πιο πίσω σαν μία επιμήκης δομή η οποία διασταυρώνεται με τον βρόγχο του αριστερού άνω λοβού και συνεχίζει πορευόμενη πίσω από αυτό τον βρόγχο. Στην περιοχή των πνευμονικών πυλών διακρίνονται παχιές σωληνώδεις σκιές που οφείλονται στους κλάδους των πνευμονικών αρτηριών και φλεβών.
Πιο κάτω στο κέντρο της εικόνας διακρίνεται η σκιά της καρδιάς. Μπροστά από τα άνω δύο τριτημόρια της καρδιακής σκιάς και πίσω από την καρδιακή σκιά απεικονίζεται πνευμονικό παρέγχυμα. Το πνευμονικό παρέγχυμα φαίνεται σαν διαυγαστική (μαύρη) περιοχή, εντός της οποίας διακρίνονται λεπτές γραμμοειδείς σκιάσεις, που προοδευτικά λεπτύνονται προς την περιφέρεια και οφείλονται στους κλάδους των πνευμονικών αγγείων.
Οι πύλες των πνευμόνων διακρίνονται περίπου στο κέντρο της πλάγιας ακτινογραφίας. Το πρόσθιο τμήμα της σκιάς των πυλών στην αριστερή πλάγια ακτινογραφία σχηματίζεται κυρίως από τη δεξιά πνευμονική αρτηρία. Η αριστερή πνευμονική αρτηρία διακρίνεται πιο πίσω σαν μία επιμήκης δομή η οποία διασταυρώνεται με τον βρόγχο του αριστερού άνω λοβού και συνεχίζει πορευόμενη πίσω από αυτό τον βρόγχο. Στην περιοχή των πνευμονικών πυλών διακρίνονται παχιές σωληνώδεις σκιές που οφείλονται στους κλάδους των πνευμονικών αρτηριών και φλεβών.
Πιο κάτω στο κέντρο της εικόνας διακρίνεται η σκιά της καρδιάς. Μπροστά από τα άνω δύο τριτημόρια της καρδιακής σκιάς και πίσω από την καρδιακή σκιά απεικονίζεται πνευμονικό παρέγχυμα. Το πνευμονικό παρέγχυμα φαίνεται σαν διαυγαστική (μαύρη) περιοχή, εντός της οποίας διακρίνονται λεπτές γραμμοειδείς σκιάσεις, που προοδευτικά λεπτύνονται προς την περιφέρεια και οφείλονται στους κλάδους των πνευμονικών αγγείων.
Στο κάτω μέρος της πλάγιας ακτινογραφίας διακρίνονται
οι θόλοι των ημιδιαφραγμάτων που καταλήγουν υπό οξεία γωνία στο πρόσθιο και το
οπίσθιο θωρακικό τοίχωμα σχηματίζοντας την πρόσθια και την οπίσθια
πλευροδιαφραγματική γωνία. Η οπίσθια πλευροδιαφραγματική γωνία, επειδή είναι το
χαμηλότερο σημείο της υπεζωκοτικής κοιλότητας, καταλαμβάνεται πρώτη σε περίπτωση
υπεζωκοτικής συλλογής υγρού.
Αν στην πλάγια ακτινογραφία οι θόλοι των
ημιδιαφραγμάτων φέρονται παράλληλα τότε πρόκειται για δεξιά πλάγια, ενώ αν τέμνονται πρόκειται για αριστερή πλάγια ακτινογραφία. Αυτό ισχύει με την προϋπόθεση ότι δεν υπάρχει
κάποια παθολογική κατάσταση που προκαλεί μεταβολή της θέσης του ενός
ημιδιαφράγματος.
Η ανατομία σε μία φυσιολογική πλάγια ακτινογραφία θώρακα.
Τι δείχνουν οι αριθμοί ;
1 οπισθοστερνικός διαυγαστικός χώρος 2 δεξιό ημιδιάφραγμα (βρίσκεται σε υψηλότερη θέση από το αριστερό) 3 αριστερό ημιδιάφραγμα (ασαφοποιείται στο πρόσθιο τμήμα του από τη σκιά της καρδιάς) 4 γαστρική φυσαλίδα (αέρας εντός του στομάχου) 5 σπονδυλική στήλη (φυσιολογικά φαίνεται λιγότερο ακτινοσκιερή προς τα κάτω) 6 δεξιά κοιλία 7 χώρος εξόδου της δεξιάς κοιλίας ή κώνος της ονευμονικής αρτηρίας 8 ανιούσα αορτή 9 αορτικό τόξο 10 κατιούσα αορτή 11 αριστερός κόλπος
12 αριστερή κοιλία 13 αριστερή πνευμονική αρτηρία 14 δεξιά πνευμονική αρτηρία 15 κάτω κοίλη φλέβα 16 τραχεία 17 αριστερός κύριος βρόγχος 18 αριστερός άνω λοβαίος βρόγχος 19 δεξιός άνω λοβαίος βρόγχος 20 οισοφάγος (δεν διακρίνεται πάντα, μόνο όταν περιέχει αρκετό αέρα) 21 δύο γραμμοειδείς σκιάσεις που παράγονται από τα χείλη των δύο ωμοπλατών
Η ανατομία σε μία φυσιολογική πλάγια ακτινογραφία θώρακα.
Τι δείχνουν οι αριθμοί ;
1 οπισθοστερνικός διαυγαστικός χώρος 2 δεξιό ημιδιάφραγμα (βρίσκεται σε υψηλότερη θέση από το αριστερό) 3 αριστερό ημιδιάφραγμα (ασαφοποιείται στο πρόσθιο τμήμα του από τη σκιά της καρδιάς) 4 γαστρική φυσαλίδα (αέρας εντός του στομάχου) 5 σπονδυλική στήλη (φυσιολογικά φαίνεται λιγότερο ακτινοσκιερή προς τα κάτω) 6 δεξιά κοιλία 7 χώρος εξόδου της δεξιάς κοιλίας ή κώνος της ονευμονικής αρτηρίας 8 ανιούσα αορτή 9 αορτικό τόξο 10 κατιούσα αορτή 11 αριστερός κόλπος
12 αριστερή κοιλία 13 αριστερή πνευμονική αρτηρία 14 δεξιά πνευμονική αρτηρία 15 κάτω κοίλη φλέβα 16 τραχεία 17 αριστερός κύριος βρόγχος 18 αριστερός άνω λοβαίος βρόγχος 19 δεξιός άνω λοβαίος βρόγχος 20 οισοφάγος (δεν διακρίνεται πάντα, μόνο όταν περιέχει αρκετό αέρα) 21 δύο γραμμοειδείς σκιάσεις που παράγονται από τα χείλη των δύο ωμοπλατών
Το μέγεθος της καρδιάς
Το αυξημένο πλάτος της καρδιακής σκιάς αποτελεί ένδειξη πάθησης της καρδιάς, ή περικαρδιακής συλλογής. Όμως, αυτό δε σημαίνει ότι η ύπαρξη φυσιολογικών διαστάσεων της καρδιακής σκιάς μπορεί να αποκλείσει την καρδιακή πάθηση. Πχ το μέγεθος της καρδιάς μπορεί να είναι φυσιολογικό σε σοβαρή στεφανιαία νόσο με στηθάγχη προσπαθείας, όπου δεν έχει επηρεασθεί η συσταλτικότητα της αριστερής κοιλίας. Επίσης, σε ασθενείς με περιοριστική μυοκαρδιοπάθεια μπορεί να υπάρχουν συμπτώματα καρδιακής ανεπάρκειας, με το μέγεθος της καρδιακής σκιάς να βρίσκεται εντός των φυσιολογικών ορίων. Η εκτίμηση του πλάτους της καρδιακής σκιάς συνήθως γίνεται αξιόπιστα με την απλή επισκόπηση της ακτινογραφίας από ένα σχετικά έμπειρο γιατρό, χωρίς να είναι τις περισσότερες φορές απαραίτητος ο υπολογισμός του καρδιοθωρακικού δείκτη. Σε περίπτωση αμφιβολίας υπολογίζεται ο καρδιοθωρακικός δείκτης (ΚΘΔ), που είναι το πηλίκο της μέγιστης εγκάρσιας διαμέτρου της καρδιάς δια τη μέγιστη εγκάρσια διάμετρο του θώρακα. Για τη μέτρηση της μέγιστης εγκάρσιας διαμέτρου της καρδιάς σχεδιάζουμε κατακόρυφη ευθεία γραμμή στο κέντρο του θώρακα και μετράμε τη μέγιστη απόσταση του δεξιού και του αριστερού χείλους της καρδιακής σκιάς από αυτή τη γραμμή, ενώ στη συνέχεια αθροίζουμε αυτές τις δύο αποστάσεις. Η μέγιστη εγκάρσια διάμετρος του θώρακα μετράται ως ένα ευθύγραμμο τμήμα που εκτείνεται οριζόντια μεταξύ της εσωτερικής επιφάνειας των πλευρών δεξιά και αριστερά στην περιοχή του θώρακα με το μεγαλύτερο εύρος. Όταν ο ΚΘΔ > 0,5 το μέγεθος της καρδιάς θεωρείται αυξημένο. Πρέπει να ληφθεί υπόψη, ότι μερικές φορές οριακός, ή οριακά αυξημένος ΚΘΔ μπορεί να παρατηρηθεί και σε ορισμένα άτομα με φυσιολογική καρδιά.
Ακτινολογικά σημεία διάτασης του αριστερού κόλπου:
1) Κυρτή εμφάνιση ή μικρή προβολή προς τα έξω στην περιοχή του ωτίου του αριστερού κόλπου (το οποίο φυσιολογικά αποτελεί ένα μικρό ευθύγραμμο ή ελαφρώς κοίλο τμήμα στο αριστερό καρδιακό χείλος κάτω από το στέλεχος της πνευμονικής αρτηρίας) 2) Διπλή παρυφή στο κατώτερο τμήμα του δεξιού καρδιακού χείλους από την προβολή του δεξιού ορίου του διατεταμένου αριστερού κόλπου πίσω από το δεξιό κόλπο 3) Ανύψωση του αριστερού κύριου βρόχου από τον διατεταμένο αριστερό κόλπο με αποτέλεσμα να σχηματίζει περισσότερο αμβλεία γωνία κατά την έκφυσή του από την τραχεία. Σημαντικού βαθμού διάταση του αριστερού κόλπου παρατηρείται συχνά σε ασθενείς με χρονία κολπική μαρμαρυγή και ιδιαίτερα σε παθήσεις της μιτροειδούς βαλβίδας. 4) Στην πλάγια ακτινογραφία αυξημένη προβολή προς τα πίσω του άνω οπίσθιου χείλους της καρδιακής σκιάς.
1) Κυρτή εμφάνιση ή μικρή προβολή προς τα έξω στην περιοχή του ωτίου του αριστερού κόλπου (το οποίο φυσιολογικά αποτελεί ένα μικρό ευθύγραμμο ή ελαφρώς κοίλο τμήμα στο αριστερό καρδιακό χείλος κάτω από το στέλεχος της πνευμονικής αρτηρίας) 2) Διπλή παρυφή στο κατώτερο τμήμα του δεξιού καρδιακού χείλους από την προβολή του δεξιού ορίου του διατεταμένου αριστερού κόλπου πίσω από το δεξιό κόλπο 3) Ανύψωση του αριστερού κύριου βρόχου από τον διατεταμένο αριστερό κόλπο με αποτέλεσμα να σχηματίζει περισσότερο αμβλεία γωνία κατά την έκφυσή του από την τραχεία. Σημαντικού βαθμού διάταση του αριστερού κόλπου παρατηρείται συχνά σε ασθενείς με χρονία κολπική μαρμαρυγή και ιδιαίτερα σε παθήσεις της μιτροειδούς βαλβίδας. 4) Στην πλάγια ακτινογραφία αυξημένη προβολή προς τα πίσω του άνω οπίσθιου χείλους της καρδιακής σκιάς.
Σε διάταση της αριστερής κοιλίας στην οπισθοπρόσθια
ακτινογραφία παρατηρείται αυξημένη προβολή του κάτω αριστερού χείλους της
καρδιακής σκιάς και παρεκτόπιση της κορυφής της καρδιάς προς τα αριστερά και
κάτω. Ο καρδιοθωρακικός δείκτης είναι αυξημένος. Κύριες αιτίες διάτασης της
αριστερής κοιλίας είναι η συστολική δυσλειτουργία λόγω ισχαιμικής ή διατατικής
μυοκαρδιοπάθειας και η σοβαρή ανεπάρκεια της αορτικής βαλβίδας. Σε μεγάλη
διάταση της αριστερής κοιλίας, στην πλάγια ακτινογραφία παρατηρείται αυξημένη
προβολή προς τα πίσω του οπίσθιου κάτω χείλους της καρδιακής σκιάς.
Σε υπερτροφία της αριστερής κοιλίας χωρίς διάτασή της,
όπως συχνά συμβαίνει σε στένωση της αορτικής βαλβίδας και σε αρκετές περιπτώσεις
σοβαρής υπέρτασης, παρατηρείται αποστρογγύλωση του αριστερού κάτω χείλους της
καρδιακής σκιάς και αποστρογγύλωση και ανύψωση της κορυφής της καρδιάς, με
φυσιολογικό καρδιοθωρακικό δείκτη.
Σε διάταση των δεξιών καρδιακών κοιλοτήτων, όπως
συμβαίνει πχ σε πνευμονική υπέρταση, σε σοβαρή ανεπάρκεια τριγλώχινας, ή σε
μεγάλη μεσοκολπική επικοινωνία, παρατηρείται στην πρόσθια ακτινογραφία αυξημένη προβολή προς τα δεξιά του κάτω δεξιού
τόξου της καρδιακής σκιάς, λόγω διάτασης του δεξιού
κόλπου. Επίσης, λόγω της διάτασης της δεξιάς κοιλίας, προκαλείται αύξηση του
καρδιοθωρακικού δείκτη και ανύψωση της κορυφής της καρδιάς (καρδιά που μοιάζει με μπότα). Στην πλάγια ακτινογραφία η
διάταση της δεξιάς κοιλίας εκδηλώνεται με κατάληψη του οπισθοστερνικού χώρου
από τη δεξιά κοιλία, με αποτέλεσμα να ελαττώνεται η έκταση του οπισθοστερνικού διαυγαστικού χώρου.
Shuford WH. Detection of cardiac chamber enlargement with the chest roentgenogram. Heart Disease and Stroke, 1992;1:341-347.
Φυσιολογική ακτινολογική εικόνα των πνευμόνων:
Εμφανίζονται ως δύο διαυγαστικές (δηλ μαύρης αποχρώσεως) περιοχές, εντός των οποίων διακρίνεται δίκτυο λεπτών λευκών γραμμώσεων, που δημιουργούνται από τους κλάδους της πνευμονικής αρτηρίας και των πνευμονικών φλεβών. Αυτές οι γραμμώσεις όταν κοιτάζει κανείς από τις πύλες των πνευμόνων προς τα πιο περιφερικά τους τμήματα λεπτύνονται προοδευτικά, καθώς τα αγγεία διακλαδίζονται σε όλο και μικρότερα. Στις πύλες των πνευμόνων υπάρχει παχύτερη και εντονότερη γραμμοειδής σκιά, η οποία δημιουργείται από τον κύριο κλάδο (δεξιό ή αριστερό) της πνευμονικής αρτηρίας.
Στην οπισθοπρόσθια ακτινογραφία η πύλη του αριστερού πνεύμονα βρίσκεται περίπου 1 cm υψηλότερα από την πύλη του δεξιού. Στη θέση των πνευμονικών πυλών, συχνότερα της δεξιάς, διακρίνεται πολλές φορές ταινιοειδής διαύγαση με φορά από άνω προς τα κάτω και έξω, η οποία δημιουργείται από τον κύριο βρόγχο. Αρτηριακοί κλάδοι που έχουν φορά παράλληλη προς τη φορά της ακτινικής δέσμης, δηλ κάθετη προς την ακτινολογική πλάκα (φίλμ) απεικονίζονται σαν μικρές στρογγυλές σκιές, επειδή σε αυτή την περίπτωση το αγγείο φαίνεται σε διατομή. Συχνά δίπλα στη σκιά της διατομής του αγγείου διακρίνεται και μία στρογγυλή διαύγαση που οφείλεται σε απεικόνιση της διατομής γειτονικού βρογχικού κλάδου. Φυσιολογικά ο αρτηριακός και ο βρογχικός κλάδος που πορεύονται μαζί έχουν περίπου το ίδιο μέγεθος. Αν η διατομή του αγγείου είναι πολύ μεγαλύτερη ή πολύ μικρότερη από τη διατομή του γειτονικού βρόγχου αυτό σημαίνει ότι υπάρχει αντίστοιχα διεύρυνση ή στένωση των πνευμονικών αγγείων, οφειλόμενη σε παθολογική κατάσταση.
Ακτινολογικά, στην οπισθοπρόσθια ακτινογραφία θώρακα οι πνεύμονες διακρίνονται σε 3 πεδία ή ζώνες. Αυτά τα πεδία χρησιμεύουν για περιγραφικούς λόγους και δεν έχουν αντιστοιχία με την ανατομία των πνευμονικών λοβών και των τμημάτων τους. Το άνω πνευμονικό πεδίο εκτείνεται από τις κορυφές των πνευμόνων μέχρι το πρόσθιο κάτω χείλος της δεύτερης πλευράς.
Το μέσο πνευμονικό πεδίο εκτείνεται από το πρόσθιο κάτω χείλος της δεύτερης πλευράς μέχρι το πρόσθιο κάτω χείλος της τέταρτης πλευράς.
Το κάτω πνευμονικό πεδίο εκτείνεται από το πέρας του μέσου, μέχρι τις βάσεις των πνευμόνων.
Στην οπισθοπρόσθια ακτινογραφία διακρίνεται η τραχεία σαν μία διαυγαστική σωληνώδης δομή που φυσιολογικά είναι ευθεία και πορεύεται στο μέσο του θώρακα. Αν πορεύεται στο κέντρο ή αν εμφανίζει παρεκτόπιση προς το ένα πλάγιο, διαπιστώνεται όταν ελέγχουμε τη θέση της συγκριτικά με τους άνω θωρακικούς σπονδύλους και τα έσω άκρα των κλειδών. Επίσης διακρίνεται ο διχασμός της τραχείας στους δύο κύριους βρόγχους που σχηματίζουν μεταξύ τους γωνία 40-75 μοιρών. Ο δεξιός κύριος βρόγχος έχει πιο μικρό μήκος και πιο κάθετη πορεία από τον αριστερό, που πορεύεται πιο λοξά. Ο δεξιός κύριος βρόγχος συνεχίζει προς τα κάτω στο διάμεσο βρόγχο.
Στο δεξιό πλάγιο χείλος της τραχείας διακρίνεται στην οπισθοπρόσθια ακτινογραφία μία γραμμοειδής σκίαση που λέγεται δεξιά παρατραχειακή γραμμή (right paratracheal stripe), ενώ στο οπίσθιο χείλος της διακρίνεται στην πλάγια ακτινογραφία μία γραμμοειδής σκίαση που λέγεται οπίσθια τραχειακή γραμμή (posterior tracheal stripe). Στην οπισθοπρόσθια ακτινογραφία συχνά είναι εφικτή και η μέτρηση του πλάτους της δεξιάς μεσολόβιας αρτηρίας (κλάδος της δεξιάς πνευμονικής αρτηρίας) η οποία βρίσκεται επί τα εκτός του διάμεσου βρόγχου. Η αρτηρία αυτή έχει μέση διάμετρο 12,5-13 mm. Επίσης η εκτίμηση αν υπάρχει διάταση των κλάδων της πνευμονικής αρτηρίας γίνεται και με σύγκριση τους με το γειτονικό βρόγχο. Έτσι φυσιολογικά ο λόγος της διαμέτρου αρτηρίας-βρόγχου σε οποιοδήποτε σημείο περιφερικά της έκφυσης των βρόγχων του άνω λοβού είναι έως 1,3-1,4: 1. Στην αξονική τομογραφία οι περιφερικοί κλάδοι των πνευμονικών αρτηριών είναι ορατοί και φυσιολογικά έχουν διάμετρο περίπου ίση με τη διάμετρο του συνοδού βρόγχου.
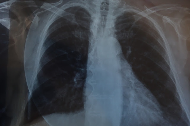
Άνδρας 65 ετών παραπονούμενος για εύκολη κόπωση (καταβολή δυνάμεων) και νυκτερινή δύσπνοια. Η αντικειμενική εξέταση δεν είχε σημαντικά ευρήματα, εκτός από ελαττωμένη ένταση του πρώτου τόνου.
Τι βλέπουμε στην ακτινογραφία και ποια είναι η κύρια διαγνωστική κατεύθυνση και η ενδεδειγμένη περαιτέρω διερεύνηση ;
Απάντηση :
Αυξημένες διαστάσεις καρδιακής σκιάς με αυξημένη προβολή του αριστερού κάτω τόξου αυτής και χαμηλή θέση της καρδιακής κορυφής, όπως παρατηρείται σε διάταση της αριστερής κοιλίας. Ελαφρά διόγκωση των πνευμονικών πυλών, όπως αυτή που παρατηρείται σε αγγειακή συμφόρηση δηλαδή σε διάταση των πνευμονικών φλεβών λόγω αυξημένης πνευμονικής φλεβικής πίεσης. Εικόνα εντονώτερης απεικόνισης του πνευμονικού αγγειακού δικτύου (λόγω διάτασης των πνευμονικών αγγειακών κλάδων). Η όλη εικόνα συνηγορεί υπέρ διάτασης και ελαττωμένης συστολικής απόδοσης της αριστερής κοιλίας, με συχνότερες αιτίες την ισχαιμική καρδιοπάθεια, τη διατατική μυοκαρδιοπάθεια και την υπερτασική καρδιοπάθεια όταν αυτή είναι σε προχωρημένο στάδιο και έχει οδηγήσει σε καρδιακή ανεπάρκεια. Άλλη αιτία διάτασης της αριστερής κοιλίας είναι η σοβαρή ανεπάρκεια της αορτικής βαλβίδας (αλλά τότε συνήθως υπάρχει και εικόνα διάτασης της ανιούσας αορτής, που δεν παρατηρείται σε αυτή την περίπτωση). Μια άλλη αιτία είναι η σοβαρή ανεπάρκεια της μιτροειδούς βαλβίδας, (αλλά τότε στην ακτινολογική εικόνα κυριαρχούν τα σημεία διάτασης του αριστερού κόλπου με κύρτωση και αυξημένη προβολή του τόξου του ωτίου του αριστερού κόλπου κάτω από το στέλεχος της αριστερής πνευμονικής αρτηρίας και με αμβλεία γωνία μεταξύ των δύο κύριων βρόγχων, εικόνα που εδώ δεν παρατηρείται σε τόσο έντονο βαθμό). Αυξημένες διαστάσεις της καρδιακής σκιάς παρατηρούνται και σε μεγάλη περικαρδιακή συλλογή, αλλά τότε συνήθως δεν υπάρχει σαφής διάκριση των τόξων της καρδιακής σκιάς (σχήμα καρδιάς που θυμίζει χαρτοσακούλα) γεγονός που εδώ δε συμβαίνει.
Ο περαιτέρω έλεγχος σε τέτοιες περιπτώσεις γίνεται με υπερηχογράφημα καρδιάς προκειμένου να ελεγχθεί η συσταλτικότητα της αριστερής κοιλίας και η λειτουργία των καρδιακών βαλβίδων και σε περίπτωση ελαττωμένης συσταλτικότητας μπορεί να χρειασθεί περαιτέρω έλεγχος με σπινθηρογράφημα μυοκαρδίου ή στεφανιαιογραφία, προκειμένου να διαπιστωθεί αν υπάρχει στεφανιαία νόσος ως υποκείμενη αιτία. Σε αυτή την περίπτωση υπερηχογραφικά διαπιστώθηκε διάχυτη σοβαρή ελάττωση της συσταλτικότητας σημαντικά διατεταμένης αριστερής κοιλίας και πιο ήπια διάταση του αριστερού κόλπου. Η στεφανιαιογραφία δεν έδειξε σημαντικές στενώσεις των στεφανιαίων αρτηριών (μόνο αθηρωματική πλάκα που προκαλούσε στένωση 40-50 % στη μεσότητα του πρόσθιου κατιόντα κλάδου, αιμοδυναμικά μη σημαντική). Η τελική διάγνωση ήταν διατατική μυοκαρδιοπάθεια.
Καταστάσεις με διόγκωση των πυλών των πνευμόνων
Η σκιά των πυλών των πνευμόνων δημιουργείται από τους
κύριους κλάδους της πνευμονικής αρτηρίας και των σύστοιχων πνευμονικών φλεβών και τους μεγάλους κλάδους αυτών. Μάλιστα, οι πνευμονικές αρτηρίες συμμετέχουν περισσότερο στη δημιουργία της σκιάς της πνευμονικής πύλης από ότι οι πνευμονικές φλέβες. Επομένως, η διόγκωση της πύλης οφείλεται συνήθως σε καταστάσεις που προκαλούν
διάταση της πνευμονικής αρτηρίας και των κλάδων της, όπως είναι η πνευμονική
υπέρταση οποιασδήποτε αιτιολογίας (πχ πνευμονική υπέρταση οφειλόμενη σε αύξηση
της πίεσης στο πνευμονικό φλεβικό δίκτυο από πάθηση της αριστερής καρδιάς ή
αριστερή καρδιακή ανεπάρκεια, πνευμονική αρτηριακή υπέρταση οφειλόμενη σε
χρονία θρομβοεμβολική νόσο, σε αυτοάνοση νόσο του κολλαγόνου, σε συγγενή καρδιοπάθεια, ή ιδιοπαθή πνευμονική υπέρταση.) Επίσης σε αριστερή καρδιακή ανεπάρκεια υπάρχει διόγκωση των πνευμονικών πυλών λόγω της διάτασης των πνευμονικών φλεβών.
Σε αριστερή καρδιακή ανεπάρκεια συχνά παρατηρείται αυξημένη σκιαγράφηση των αγγείων των άνω πνευμονικών πεδίων σε σχέση με τα κάτω πνευμονικά πεδία. Αυτό οφείλεται σε ανακατανομή της αιματικής ροής λόγω υποξικού σπασμού των αγγείων των κάτω πνευμονικών πεδίων.
Σε αριστερή καρδιακή ανεπάρκεια συχνά παρατηρείται αυξημένη σκιαγράφηση των αγγείων των άνω πνευμονικών πεδίων σε σχέση με τα κάτω πνευμονικά πεδία. Αυτό οφείλεται σε ανακατανομή της αιματικής ροής λόγω υποξικού σπασμού των αγγείων των κάτω πνευμονικών πεδίων.
Επίσης διόγκωση των πυλών μπορεί να παρατηρηθεί και σε
διάταση των κλάδων της πνευμονικής αρτηρίας λόγω αυξημένης ροής αίματος στην
πνευμονική αρτηρία, εξαιτίας συγγενούς καρδιοπάθειας με διαφυγή αίματος από
αριστερά προς τα δεξιά.
Διογκωμένες πύλες με λοβωτή εμφάνιση (δηλαδή με παρυφή που έχει επιμέρους τοξοειδή τμήματα) παρατηρούνται σε
παθολογική διόγκωση των λεμφαδένων της πνευμονικής πύλης (λεμφαδενοπάθεια των
πυλών), που παρατηρείται σε σαρκοείδωση, σε μεταστατικό μελάνωμα και μεταστατικό
υπερνέφρωμα (καρκίνο του νεφρού).
Ετερόπλευρη διόγκωση πνευμονικής πύλης μπορεί να
προκληθεί από παρουσία μεγάλων θρόμβων στη σύστοιχη (ομόπλευρη) πνευμονική
αρτηρία σε μεγάλη πνευμονική εμβολή. Σε αυτή την περίπτωση παρατηρείται
περιφερικότερα ολιγαιμική εικόνα, δηλ ο πνεύμονας εμφανίζεται περισσότερο διαυγαστικός
από την ελαττωμένη σκιαγράφηση των μικρότερων αρτηριακών κλάδων, οι οποίοι δεν
αιματώνονται, λόγω της αγγειακής απόφραξης που προκαλούν οι θρόμβοι.
Επίσης ετερόπλευρη διόγκωση πνευμονικής πύλης μπορεί
να παρατηρηθεί σε περίπτωση παρουσίας στην περιοχή της πύλης κάποιας
επιπρόσθετης σκίασης (εκτός δηλ από τη φυσιολογική σκίαση της σύστοιχης
πνευμονικής αρτηρίας). Αυτό οφείλεται στην ύπαρξη κάποιας παθολογικής κατάστασης
στην περιοχή της πύλης, όπως είναι συχνά ο καρκίνος.
Φυσιολογικά η πυκνότητα της σκίασης των δύο πνευμονικών πυλών είναι περίπου ίδια. Αυξημένη πυκνότητα δηλ αυξημένη ακτινοσκιερότητα (πιο
λευκό χρώμα) της μίας πύλης σε σύγκριση με την πύλη του άλλου πνεύμονα μπορεί
να προκληθεί σε περίπτωση επιπροβολής μίας πρόσθετης σκίασης από καρκίνωμα του πνεύμονα.
Παρεκτόπιση της τραχείας
Στην περιοχή της ρίζας του τραχήλου η τραχεία μπορεί να παρεκτοπισθεί και να εμφανίζει κύρτωση από διόγκωση του θυρεοειδή αδένα (βρογχοκήλη).
Χαμηλότερα, στην περιοχή μεταξύ της στερνικής εντομής΄(άνω όριο του στέρνου) και του αορτικού τόξου, η τραχεία μπορεί να παρεκτοπισθεί είτε λόγω απώθησης από μία μάζα, ή λόγω έλξης προς μία γειτονική πνευμονική περιοχή με απώλεια όγκου, εξαιτίας ατελεκτασίας, ίνωσης, ή χειρουργικής εκτομής.
Παρεκτόπιση της τραχείας
Στην περιοχή της ρίζας του τραχήλου η τραχεία μπορεί να παρεκτοπισθεί και να εμφανίζει κύρτωση από διόγκωση του θυρεοειδή αδένα (βρογχοκήλη).
Χαμηλότερα, στην περιοχή μεταξύ της στερνικής εντομής΄(άνω όριο του στέρνου) και του αορτικού τόξου, η τραχεία μπορεί να παρεκτοπισθεί είτε λόγω απώθησης από μία μάζα, ή λόγω έλξης προς μία γειτονική πνευμονική περιοχή με απώλεια όγκου, εξαιτίας ατελεκτασίας, ίνωσης, ή χειρουργικής εκτομής.
Ακτινολογική εικόνα σε διάμεσες πνευμονοπάθειες, δηλ σε πνευμονικές παθήσεις στις οποίες πάσχει κυρίως ο διάμεσος ιστός: Διακρίνεται εικόνα δικτύου (γραμμοειδείς σκιάσεις εντονότερες από τις φυσιολογικές γραμμοειδείς σκιάσεις του πνευμονικού αγγειακού δικτύου), εικόνα οζώδης (μικρές στρογγυλές ή ωοειδείς σκιάσεις) και εικόνα δικτυοζώδης (συνδυασμός των παραπάνω).
Στην δικτυωτή εικόνα υπάρχουν γραμμικές σκιάσεις
λεπτές, ή περισσότερο αδρές, που περιβάλλουν αεροπληθείς χώρους και σχηματίζουν
δίκτυο.
Γενικά σε διάμεση πνευμονοπάθεια οι γραμμώσεις που σχηματίζουν την εικόνα δικτύου είναι πολύ πιο έντονες από τις φυσιολογικές γραμμώσεις, που οφείλονται στους κλάδους των πνευμονικών αγγείων. Όταν αυτό το δίκτυο είναι αδρό, δηλ με ευκρινείς, αυξημένου πάχους γραμμώσεις, μπορεί η εικόνα να μοιάζει με κυψέλες.
Γενικά σε διάμεση πνευμονοπάθεια οι γραμμώσεις που σχηματίζουν την εικόνα δικτύου είναι πολύ πιο έντονες από τις φυσιολογικές γραμμώσεις, που οφείλονται στους κλάδους των πνευμονικών αγγείων. Όταν αυτό το δίκτυο είναι αδρό, δηλ με ευκρινείς, αυξημένου πάχους γραμμώσεις, μπορεί η εικόνα να μοιάζει με κυψέλες.
Εικόνα δικτύου παρατηρείται και στο διάμεσο πνευμονικό
οίδημα σε περιπτώσεις αριστερής καρδιακής ανεπάρκειας λόγω διάτασης των πνευμονικών
αγγείων, εξαιτίας της αυξημένης πνευμονικής φλεβικής πίεσης. Αυτό έχει σαν
αποτέλεσμα την παρουσία γραμμοειδών ή δικτυωτών σκιάσεων ιδιαίτερα στα κατώτερα
πνευμονικά πεδία, περιβρογχικά, περιαγγειακά με ασαφή όρια των αγγείων, μεσολοβιδιακά (γραμμές Kerley) και υφυπεζωκοτικά (πάχυνση μεσολοβίων σχισμών).
Δικτυωτές ή γραμμοειδείς σκιάσεις προκαλεί η διάμεση πνευμονική ίνωση (η οποία παρουσιάζει δικτυωτή εικόνα με έντονες γραμμώσεις), η λεμφαγγειακή καρκινωμάτωση, κάποιες περιπτώσεις προσβολής του πνεύμονα από ρευματικά νοσήματα με πρόκληση πνευμονικής ίνωσης (πχ σε ρευματοειδή αρθρίτιδα) και το διάμεσο πνευμονικό οίδημα. Το τελευταίο οφείλεται σε διάταση των πνευμονικών αγγείων λόγω αυξημένης πνευμονικής φλεβικής πίεσης σε περιπτώσεις καρδιακής ανεπάρκειας, χωρίς να υπάρχει είσοδος υγρού στις κυψελίδες.
Δικτυωτές ή γραμμοειδείς σκιάσεις προκαλεί η διάμεση πνευμονική ίνωση (η οποία παρουσιάζει δικτυωτή εικόνα με έντονες γραμμώσεις), η λεμφαγγειακή καρκινωμάτωση, κάποιες περιπτώσεις προσβολής του πνεύμονα από ρευματικά νοσήματα με πρόκληση πνευμονικής ίνωσης (πχ σε ρευματοειδή αρθρίτιδα) και το διάμεσο πνευμονικό οίδημα. Το τελευταίο οφείλεται σε διάταση των πνευμονικών αγγείων λόγω αυξημένης πνευμονικής φλεβικής πίεσης σε περιπτώσεις καρδιακής ανεπάρκειας, χωρίς να υπάρχει είσοδος υγρού στις κυψελίδες.
Μεγαλύτερη ευαισθησία για τη διάγνωση των διάμεσων
πνευμονικών παθήσεων έχει η αξονική τομογραφία θώρακος υψηλής ευκρίνειας.
Η οζώδης εικόνα, με παρουσία πολλαπλών μικρών σκιάσεων
στρογγυλού, ή ωοειδούς σχήματος διαμέτρου συνήθως από 1 έως 5-6 mm αποτελεί μία
άλλη μορφή ακτινολογικής εικόνας νόσου του διαμέσου ιστού. Παρατηρείται σε
κοκκιωματώδεις νόσους (κεγχροειδής φυματίωση, σαρκοείδωση, κάποιες μυκητιάσεις,
κοκκιωμάτωση από τάλκ σε χρήστες ενδοφλεβίων ναρκωτικών) πνευμονοκονιάσεις, δηλ
επαγγελματικές νόσους από χρόνια εισπνοή σωματιδίων (πχ πνευμονοκονίαση των
ανθρακωρύχων, βηρυλίωση), διάχυτες μεταστάσεις, αιμοχρωμάτωση, εξωγενής
αλλεργική κυψελιδίτιδα, ιστιοκύττωση Langerhans.
Η δικτυοζώδης εικόνα αποτελεί συνδυασμό των δύο
παραπάνω ακτινολογικών εικόνων με συνύπαρξη γραμμοειδών σκιάσεων σαν δίκτυο και
οζιδίων. Παρατηρείται σε πνευμονοκονιάσεις, σαρκοείδωση και λεμφαγγειακή
καρκινωμάτωση.
Γυναίκα 82 ετών με ιστορικό παλαιότερου εμφράγματος (NSTEMI), υπέρτασης, μόνιμης κολπικής μαρμαρυγής και επανειλημμένων ουρολοιμώξεων για τις οποίες λαμβάνει αγωγή με νιτροφουραντοϊνη από έτους. Τους τελευταίους 3 μήνες περίπου εμφανίζει δύσπνοια. Ακτινογραφία Α : η τωρινή/ Ακτινογραφία Β : προ 1 έτους. Τι έχει αλλάξει ; Ποια είναι η πιθανότερη διάγνωση ;
Α
Β
Διάχυτη και εμφανής εικόνα δικτυωτών σκιάσεων και στους δύο πνεύμονες στην πρόσφατη ακτινογραφία (Α), που δεν προϋπήρχε στην παλαιότερη ακτινογραφία προ έτους (Β). Η διαφορά στην ύπαρξη εικόνας διάμεσου δικτύου είναι εμφανής, παρά την όποια διαφορά στην ποιότητα λήψης των δύο ακτινογραφιών.
Τέθηκε υποψία διάμεσης πνευμονοπάθειας (διάμεση πνευμονική ίνωση). Η διάγνωση αυτή όντως επιβεβαιώθηκε και με αξονική τομογραφία υψηλής ευκρίνειας
Η βιβλιογραφία αναφέρει ότι σπανίως η νιτροφουραντοϊνη μπορεί να προκαλέσει διάμεση πνευμονοπάθεια (πνευμονική ίνωση). Το φάρμακο διακόπηκε και η ασθενής εμφάνισε σταδιακή βελτίωση (σημαντική ελάττωση της δύσπνοιας).
[Σημείωση: Η εξάλειψη της δεξιάς πλευροδιαφραγματικής γωνίας στην πρόσφατη ακτινογραφία (Α) δίνει εκ πρώτης όψεως την εντύπωση πλευριτικής συλλογής υγρού ,αλλά η αξονική τομογραφία έδειξε ότι δεν υπήρχε πλευριτική συλλογή, αλλά οφειλόταν σε πάχυνση και ίνωση στον υπεζωκότα]
Κυψελιδικές εικόνες: είναι οι παθολογικές
ακτινολογικές εικόνες που προκύπτουν από την αντικατάσταση του αέρα των
κυψελίδων με υγρό. Παρατηρούνται σε πύκνωση από πνευμονία ή βρογχοπνευμονία (φλεγμονή
του πνεύμονα από παθογόνο μικροοργανισμό: βακτηρίδιο, ιό ή μύκητα), σε
εξιδρωματική μορφή φυματίωσης, σε εισρόφηση υγρού, πνευμονική αιμορραγία,
πνευμονικό οίδημα καρδιογενές ή μη καρδιογενές, βρογχοκυψελιδικό καρκίνωμα ή
λέμφωμα.
Στις κυψελιδικές εικόνες υπάρχει σκιά (λευκωπή εικόνα) με ασαφή όρια και νεφελώδη εμφάνιση, ενώ συχνά εντός της σκιάς διακρίνεται αεροβρογχόγραμμα (βλ. παρακάτω). Η σκίαση μπορεί να είναι ομοιογενής σε περίπτωση κατάληψης όλων των κυψελίδων από υγρό, ή ανομοιογενής αν δεν έχουν υγρό όλες οι κυψελίδες της προσβεβλημένης περιοχής του πνεύμονα. Στη δεύτερη περίπτωση παρεμβάλλονται μέσα στη σκιά μικρές περιοχές διαύγασης (δηλ μικρές περιοχές με μαύρο χρώμα). Η σκίαση είναι ανομοιογενής στην αρχή μίας πνευμονίας, αλλά και στο τέλος της (όταν βρίσκεται σε φάση αποδρομής), ενώ είναι ομοιογενής στη φάση της ηπατώσεως, στην οποία η νόσος είναι πλήρως εγκατεστημένη. Τα όρια των κυψελιδικών σκιάσεων είναι συχνά ασαφή. Δεν υπάρχει αξιόλογη μείωση του όγκου του προσβεβλημένου πνεύμονα, σε αντίθεση με την ατελεκτασία.
Στις κυψελιδικές εικόνες υπάρχει σκιά (λευκωπή εικόνα) με ασαφή όρια και νεφελώδη εμφάνιση, ενώ συχνά εντός της σκιάς διακρίνεται αεροβρογχόγραμμα (βλ. παρακάτω). Η σκίαση μπορεί να είναι ομοιογενής σε περίπτωση κατάληψης όλων των κυψελίδων από υγρό, ή ανομοιογενής αν δεν έχουν υγρό όλες οι κυψελίδες της προσβεβλημένης περιοχής του πνεύμονα. Στη δεύτερη περίπτωση παρεμβάλλονται μέσα στη σκιά μικρές περιοχές διαύγασης (δηλ μικρές περιοχές με μαύρο χρώμα). Η σκίαση είναι ανομοιογενής στην αρχή μίας πνευμονίας, αλλά και στο τέλος της (όταν βρίσκεται σε φάση αποδρομής), ενώ είναι ομοιογενής στη φάση της ηπατώσεως, στην οποία η νόσος είναι πλήρως εγκατεστημένη. Τα όρια των κυψελιδικών σκιάσεων είναι συχνά ασαφή. Δεν υπάρχει αξιόλογη μείωση του όγκου του προσβεβλημένου πνεύμονα, σε αντίθεση με την ατελεκτασία.
Οι κυψελιδικές
σκιάσεις συχνά περιέχουν και λεπτές γραμμοειδείς διαυγάσεις, που οφείλονται
στην παρουσία βρόγχων γεμάτων με αέρα (αρνητικό βρογχόγραμμα ή
αεροβρογχόγραμμα). Αυτό το σημείο βοηθά στη διαφορική διάγνωση μίας κυψελιδικής
σκίασης, πχ πύκνωσης από πνευμονία, από τη σκίαση που προκαλεί η ατελεκτασία.
Στην τελευταία περίπτωση δεν παρατηρείται αεροβρογχόγραμμα.
Ως προς την κατανομή τους, οι κυψελιδικές εικόνες (ή κυψελιδικές σκιάσεις) διακρίνονται σε
![]() |
| Σύνδρομο οξείας αναπνευστικής δυσχέρειας ή αναπνευστικής δυσχέρειας των ενηλίκων (ARDS acute respiratory distress syndrome) σε ασθενή με οξεία παγκρεατίτιδα |
Ως προς την κατανομή τους, οι κυψελιδικές εικόνες (ή κυψελιδικές σκιάσεις) διακρίνονται σε
1) Μεγάλες διάχυτες σκιάσεις
(παρατηρούνται σε περιπτώσεις διάχυτης κυψελιδικής βλάβης όπως σε μή
καρδιογενές ή καρδιογενές πνευμονικό οίδημα και σε διάχυτη ιογενή πνευμονία).
Στο πνευμονικό οίδημα η διάχυτη και αμφοτερόπλευρη σκιερότητα που υπάρχει τους
πνεύμονες θυμίζει ομίχλη. Το καρδιογενές κυψελιδικό πνευμονικό οίδημα
χαρακτηρίζεται από ανομοιογενή και νεφελοειδή σκίαση στις πύλες και τις
περιπυλαίες περιοχές, που η εμφάνισή της παρομοιάζεται με τα φτερά της
νυχτερίδας. Οφείλεται σε μεγάλη και απότομη αύξηση της πνευμονικής φλεβικής
πίεσης η οποία προκαλεί σημαντικά αυξημένη υδροστατική πίεση εντός των πνευμονικών τριχοειδών, με αποτέλεσμα την είσοδο υγρού στις κυψελίδες.
2) Ανομοιογενείς σκιάσεις (όπως σε πολυεστιακή βρογχοπνευμονία, υποτροπιάζουσα εισρόφηση και αγγειίτιδα).
3) Περιπυλαίες σκιάσεις, που έχουν κατανομή κυρίως γύρω από τις πνευμονικές πύλες (όπως σε καρδιογενές πνευμονικό οίδημα, νεφρική ανεπάρκεια με οξεία υπερφόρτωση υγρών, πνευμονική αιμορραγία),
4) Λοβώδη σκίαση, δηλ σκίαση που καταλαμβάνει έναν πνευμονικό λοβό, χωρίς ατελεκτασία (λοβώδης πνευμονία),
5) Λοβώδη σκίαση με ατελεκτασία (οφείλεται σε απόφραξη λοβαίου βρόγχου από όγκο, εισρόφηση ξένου σώματος ή βύσμα βλέννης).
2) Ανομοιογενείς σκιάσεις (όπως σε πολυεστιακή βρογχοπνευμονία, υποτροπιάζουσα εισρόφηση και αγγειίτιδα).
3) Περιπυλαίες σκιάσεις, που έχουν κατανομή κυρίως γύρω από τις πνευμονικές πύλες (όπως σε καρδιογενές πνευμονικό οίδημα, νεφρική ανεπάρκεια με οξεία υπερφόρτωση υγρών, πνευμονική αιμορραγία),
4) Λοβώδη σκίαση, δηλ σκίαση που καταλαμβάνει έναν πνευμονικό λοβό, χωρίς ατελεκτασία (λοβώδης πνευμονία),
5) Λοβώδη σκίαση με ατελεκτασία (οφείλεται σε απόφραξη λοβαίου βρόγχου από όγκο, εισρόφηση ξένου σώματος ή βύσμα βλέννης).
Σημείο της παρυφής: Βοηθά στον εντοπισμό μίας σκίασης.
Αν μία σκίαση, παρακείμενη προς την καρδιά, ασαφοποιεί το χείλος της καρδιακής
σκιάς, τότε βρίσκεται πιο κοντά στην ακτινολογική πλάκα (φίλμ) από ότι η καρδιά, επομένως βρίσκεται σε πιο
πρόσθια θέση, ενώ αν δεν ασαφοποιεί το χείλος της καρδιακής σκιάς, τότε
βρίσκεται σε οπίσθια θέση.
Στο κυψελιδικό πνευμονικό οίδημα παρουσιάζεται
αμφοτερόπλευρη κυψελιδική σκίαση γύρω
από τις πύλες με σχήμα που θυμίζει φτερά νυχτερίδας ή φτερά πεταλούδας.
Γυναίκα 82 ετών με έντονη δύσπνοια που αυξανόταν προοδευτικά από ολίγων ωρών και ορθόπνοια (δεν δύναται να παραμείνει σε ύπτια θέση λόγω αύξησης της δύσπνοιας). Ιστορικό παλαιού εμφράγματος. Δεν αναφέρει θωρακικό άλγος. Απύρετη, αρτηρ πίεση 150/80 σφύξεις 100/λεπτό, συστολικό φύσημα στην εστία στης αορτικής με ακουστό τον 2ο καρδιακό τόνο, ταχύπνοια, εφίδρωση και αγωνιώδης έκφραση του προσώπου. Ακρόαση του αναπνευστικού: υγροί ρόγχοι στα 2/3 των πνευμονικών πεδίων αμφοτεροπλεύρως. Ποια είναι η διάγνωση ;
Στην ακτινογραφία διακρίνεται εκτεταμένη αμφοτερόπλευρη κυψελιδική σκίαση γύρω από τις πύλες με ασαφή όρια και εικόνα " φτερών νυχτερίδας" Διάγνωση : καρδιογενές κυψελιδικό πνευμονικό οίδημα. Επιπλέον ακτινολογικά δίνεται η εντύπωση αυξημένων διαστάσεων της καρδιάς με αυξημένη προβολή του τόξου της αριστερής κοιλίας. Η ασθενής αντιμετωπίστηκε επιτυχώς με ενδοφλέβια διουρητική αγωγή (φουροσεμίδη), και χορήγηση οξυγόνου. Στο ΗΚΓ διαπιστώθηκε φλεβοκομβικός ρυθμός και αποκλεισμός του αριστερού σκέλους (LBBB) Υπερηχογραφικά διαπιστώθηκε εικόνα σοβαρών τμηματικών διαταραχών κινητικότητας στο μέσο μεσοκοιλιακό, μέσο πρόσθιο και στα κορυφαία τμήματα της αριστερής κοιλίας με συνέπεια την ελαττωμένη συνολική συσταλτικότητα της αριστερής κοιλίας (κλάσμα εξώθησης 35%), η οποία ήταν διατεταμένη. Επιπλέον διαπιστώθηκε στένωση αορτικής βαλβίδας μέτριας βαρύτητας (στόμιο 1,5 cm2 που υπολογίσθηκε υπερηχογραφικά με την εξίσωση συνεχείας- βλέπε κεφάλαιο "βαλβιδικές παθήσεις καρδιάς" )
Ασθενής με εμπύρετο νόσημα. Διάγνωση ;
Γυναίκα 82 ετών με έντονη δύσπνοια που αυξανόταν προοδευτικά από ολίγων ωρών και ορθόπνοια (δεν δύναται να παραμείνει σε ύπτια θέση λόγω αύξησης της δύσπνοιας). Ιστορικό παλαιού εμφράγματος. Δεν αναφέρει θωρακικό άλγος. Απύρετη, αρτηρ πίεση 150/80 σφύξεις 100/λεπτό, συστολικό φύσημα στην εστία στης αορτικής με ακουστό τον 2ο καρδιακό τόνο, ταχύπνοια, εφίδρωση και αγωνιώδης έκφραση του προσώπου. Ακρόαση του αναπνευστικού: υγροί ρόγχοι στα 2/3 των πνευμονικών πεδίων αμφοτεροπλεύρως. Ποια είναι η διάγνωση ;
Στην ακτινογραφία διακρίνεται εκτεταμένη αμφοτερόπλευρη κυψελιδική σκίαση γύρω από τις πύλες με ασαφή όρια και εικόνα " φτερών νυχτερίδας" Διάγνωση : καρδιογενές κυψελιδικό πνευμονικό οίδημα. Επιπλέον ακτινολογικά δίνεται η εντύπωση αυξημένων διαστάσεων της καρδιάς με αυξημένη προβολή του τόξου της αριστερής κοιλίας. Η ασθενής αντιμετωπίστηκε επιτυχώς με ενδοφλέβια διουρητική αγωγή (φουροσεμίδη), και χορήγηση οξυγόνου. Στο ΗΚΓ διαπιστώθηκε φλεβοκομβικός ρυθμός και αποκλεισμός του αριστερού σκέλους (LBBB) Υπερηχογραφικά διαπιστώθηκε εικόνα σοβαρών τμηματικών διαταραχών κινητικότητας στο μέσο μεσοκοιλιακό, μέσο πρόσθιο και στα κορυφαία τμήματα της αριστερής κοιλίας με συνέπεια την ελαττωμένη συνολική συσταλτικότητα της αριστερής κοιλίας (κλάσμα εξώθησης 35%), η οποία ήταν διατεταμένη. Επιπλέον διαπιστώθηκε στένωση αορτικής βαλβίδας μέτριας βαρύτητας (στόμιο 1,5 cm2 που υπολογίσθηκε υπερηχογραφικά με την εξίσωση συνεχείας- βλέπε κεφάλαιο "βαλβιδικές παθήσεις καρδιάς" )
Ασθενής με εμπύρετο νόσημα. Διάγνωση ;
Λοβώδης πνευμονία (δεξιού άνω λοβού). Διακρίνεται εμφανώς η σκίαση και χαρακτηριστικά υπάρχει εικόνα αεροβρογχογράμματος ( ¨σωληνοειδείς" επιμήκεις διαυγαστικές περιοχές εντός της σκίασης που οφείλονται στην παρουσία αέρα εντός βρόγχων).
Καταστάσεις με ομοιογενή σκίαση
(Σκίαση με ομοιόμορφη εμφάνιση χωρίς παρεμβολή εντός αυτής διαυγαστικών περιοχών): 1) ατελεκτασία , 2) η πλευριτική συλλογή (συλλογή υγρού στην υπεζωκοτική κοιλότητα), 3) ορισμένες περιπτώσεις καρκίνου του πνεύμονα 4) το στάδιο της πνευμονίας στο οποίο έχουν καταληφθεί από φλεγμονώδες υγρό όλες οι κυψελίδες της πάσχουσας περιοχής.
Στην περίπτωση του καρκίνου η σκίαση είναι συχνά
ομοιογενής κεντρικά, αλλά με ασαφή όρια στην περιφέρεια αυτής. Συχνά υπάρχει
μείωση του όγκου (βαθμός ατελεκτασίας) του γειτονικού πνευμονικού τμήματος λόγω
της βρογχικής απόφραξης, με συνέπεια την υψηλότερη θέση του ομόπλευρου
ημιδιαφράγματος.
Συνήθη ακτινολογικά ευρήματα σε καρκίνο του πνεύμονα: Mία σκίαση, που περιγράφεται ως πνευμονικό διήθημα με ασαφές περίγραμμα, ή ένας όζος. Η σκίαση ή ο όζος μπορεί να είναι κεντρικής ή περιφερικής εντόπισης, συχνά έχει ασαφώς αφοριζόμενη παρυφή, ή λοβωτή παρυφή. Σε περίπτωση κεντρικής νέκρωσης του όγκου, παρουσιάζεται κοιλότητα, η οποία φαίνεται σαν μία διαυγαστική περιοχή εντός του όζου, η οποία (όταν υπάρχει) σε περιπτώσεις καρκίνου, έχει χαρακτηριστικά έκκεντρη θέση και παχύ ανώμαλο τοίχωμα. Πολλές φορές ο καρκίνος εκδηλώνεται με μία πυλαία σκίαση με ασαφή όρια. Κάποια ακτινολογικά ευρήματα από τις πνευμονικές πύλες που μπορούν να οδηγήσουν στην υποψία καρκίνου είναι η ασυμμετρία ως προς το μέγεθος των πυλών και η εντονότερη και πιο συμπαγής υφή της σκίασης της μίας πνευμονικής πύλης.
Σε περίπτωση απόφραξης βρόγχου, ο καρκίνος προκαλεί την ακτινολογική εικόνα της ατελεκτασίας, ενώ σε περίπτωση διήθησης του υπεζωκότα, υπάρχει εικόνα πλευριτικής συλλογής. Σε περίπτωση διήθησης του φρενικού νεύρου παρατηρείται άνωση του ημιδιαφράγματος.
Μια ειδική περίπτωση καρκινώματος του πνεύμονα είναι ο όγκος του Pancoast που αναπτύσσεται στην κορυφή του πνεύμονα και διηθεί τις πλευρές, τους σπονδύλους, το στέλεχος του συμπαθητικού (όταν διηθείται το στέλεχος του συμπαθητικού προκαλείται το σύνδρομο Horner), συχνά και το βραχιόνιο πλέγμα (κινητικές και αισθητικές νευρολογικές διαταραχές του άνω άκρου).
Συνήθη ακτινολογικά ευρήματα σε καρκίνο του πνεύμονα: Mία σκίαση, που περιγράφεται ως πνευμονικό διήθημα με ασαφές περίγραμμα, ή ένας όζος. Η σκίαση ή ο όζος μπορεί να είναι κεντρικής ή περιφερικής εντόπισης, συχνά έχει ασαφώς αφοριζόμενη παρυφή, ή λοβωτή παρυφή. Σε περίπτωση κεντρικής νέκρωσης του όγκου, παρουσιάζεται κοιλότητα, η οποία φαίνεται σαν μία διαυγαστική περιοχή εντός του όζου, η οποία (όταν υπάρχει) σε περιπτώσεις καρκίνου, έχει χαρακτηριστικά έκκεντρη θέση και παχύ ανώμαλο τοίχωμα. Πολλές φορές ο καρκίνος εκδηλώνεται με μία πυλαία σκίαση με ασαφή όρια. Κάποια ακτινολογικά ευρήματα από τις πνευμονικές πύλες που μπορούν να οδηγήσουν στην υποψία καρκίνου είναι η ασυμμετρία ως προς το μέγεθος των πυλών και η εντονότερη και πιο συμπαγής υφή της σκίασης της μίας πνευμονικής πύλης.
Σε περίπτωση απόφραξης βρόγχου, ο καρκίνος προκαλεί την ακτινολογική εικόνα της ατελεκτασίας, ενώ σε περίπτωση διήθησης του υπεζωκότα, υπάρχει εικόνα πλευριτικής συλλογής. Σε περίπτωση διήθησης του φρενικού νεύρου παρατηρείται άνωση του ημιδιαφράγματος.
Μια ειδική περίπτωση καρκινώματος του πνεύμονα είναι ο όγκος του Pancoast που αναπτύσσεται στην κορυφή του πνεύμονα και διηθεί τις πλευρές, τους σπονδύλους, το στέλεχος του συμπαθητικού (όταν διηθείται το στέλεχος του συμπαθητικού προκαλείται το σύνδρομο Horner), συχνά και το βραχιόνιο πλέγμα (κινητικές και αισθητικές νευρολογικές διαταραχές του άνω άκρου).
Ατελεκτασία:
Πρόκειται για τη σύμπτυξη και συρρίκνωση μίας περιοχής του πνεύμονα με απουσία του αέρα από αυτή την πάσχουσα περιοχή. Συνήθως οφείλεται σε πλήρη απόφραξη βρόγχου που εμποδίζει την είσοδο αέρα, ενώ ο αέρας που είχε παγιδευθεί στο πάσχον τμήμα του πνεύμονα απορροφάται από τα τοιχώματα των κυψελίδων. Αυτό επιφέρει την σύμπτωση των κυψελίδων και τη συρρίκνωση της πάσχουσας πνευμονικής περιοχής.
Αιτίες: βρογχογενής καρκίνος, βρογχικό αδένωμα, εισρόφηση ξένου σώματος, απόφραξη βρόγχου από παχύρρευστες βλεννώδεις εκκρίσεις, εξωτερική πίεση βρόγχου από διογκωμένους λεμφαδένες.
Ακτινολογική εικόνα: Ομοιογενής σκίαση (λευκωπή
απεικόνιση) στο πάσχον τμήμα λόγω της απουσίας αέρα. Ελάττωση του όγκου της
πάσχουσας περιοχής με αποτέλεσμα την έλξη και παρεκτόπιση του μεσοθωρακίου και
της τραχείας προς την πάσχουσα πλευρά, την άνωση του ημιδιαφράγματος, δηλ το
σύστοιχο (ομόπλευρο) ημιδιάφραγμα βρίσκεται σε υψηλότερη θέση, τη μετατόπιση
των μεσολόβιων σχισμών και την ελάττωση του εύρους των μεσοπλευρίων διαστημάτων
με τις πλευρές να έχουν πιο λοξή φορά προς τα κάτω. Επίσης, παρατηρείται
αντιρροπιστική υπερδιάταση και αυξημένη διαύγαση (δηλ περισσότερο μαύρη
απεικόνιση) του υγιούς πνεύμονα.
Ποιά είναι η διάγνωση στην παρακάτω ακτινογραφία ;
ΑΠΑΝΤΗΣΗ
Ατελεκτασία άνω λοβού του δεξιού πνεύμονα
Μονήρης όζος ή νομισματοειδής σκίαση:
Ποιά είναι η διάγνωση στην παρακάτω ακτινογραφία ;
ΑΠΑΝΤΗΣΗ
Ατελεκτασία άνω λοβού του δεξιού πνεύμονα
Μονήρης όζος ή νομισματοειδής σκίαση:
Πρόκειται για
ομοιογενή σκιά με στρογγυλό σχήμα διαμέτρου συνήθως 1 έως 4 cm. Αίτια:
βρογχογενής καρκίνος του πνεύμονα, μονήρης μετάσταση ενός κακοήθους όγκου,
αδρανές φυμάτωμα (εύρημα χωρίς ιδιαίτερη σημασία), κοκκίωμα, αμάρτωμα,
απόστημα, βρογχικό αδένωμα, αρτηριοφλεβώδης επικοινωνία. Επίσης υπάρχουν
περιπτώσεις που επιπροβάλλεται η σκιά της θηλής του μαστού ή ενός σπίλου
(«ελιά») του δέρματος και δίνει την απατηλή εικόνα νομισματοειδούς σκίασης. Ευρήματα που συνηγορούν υπέρ
καλοήθους αιτίας είναι η ανεύρεση αποτιτανώσεων εντός του όζου και η παρουσία
του ευρήματος σε παλαιότερες ακτινογραφίες χωρίς να έχει εμφανίσει μεταβολή. Ευρήματα που συνηγορούν υπέρ κακοήθους αιτίας (καρκίνος) είναι η
ασαφοποίηση των ορίων του σε μία ή περισσότερες θέσεις, η παρουσία ομφαλού
(ανωμαλίας σαν εσοχή, στην παρυφή) και η ύπαρξη δορυφορικών βλαβών. Πάντως τα παραπάνω δεν
έχουν απόλυτη ισχύ και απαιτείται συνεκτίμηση των κλινικών δεδομένων και συχνά
περαιτέρω έλεγχος με αξονική τομογραφία ή βιοψία.
Φυσιολογικές καταστάσεις που μπορούν να προκαλέσουν
σύγχυση και να εκληφθούν εσφαλμένα σαν οζώδεις πνευμονικές σκιάσεις είναι:
σκληρωτικοί ή υπερτροφικοί χόνδροι των προσθίων πλευρών, νησίδες σκληρυντικού
οστού (δηλ πυκνώτερου οστού) στις πλευρές και η σκιά της θηλής του μαστού.
Πλευριτική συλλογή υγρού (pleural effusion):
Προκαλεί την εμφάνιση ομοιογενούς σκίασης, η οποία σε περίπτωση μικρής ποσότητας υγρού μπορεί να καταργεί μόνο την πλευροδιαφραγματική γωνία, η οποία φυσιολογικά είναι οξεία και διαυγαστική. Σε μεγαλύτερη ποσότητα υγρού εμφανίζεται σκίαση ομοιογενής. Το άνω όριο της σκίασης αυτής μπορεί να είναι ασαφές και είναι κοίλο, ενώ στο πλάγιο τμήμα του έχει φορά προς τα άνω και έξω. Για να διακρίνεται μία πλευριτική συλλογή στην οπισθοπρόσθια ακτινογραφία, πρέπει η ποσότητα του υγρού να είναι ≥ 200 ml. Αίτια πλευριτικής συλλογής υγρού: φλεγμονώδη (πνευμονία), τραυματικά (αιμοθώρακας, χυλοθώρακας), νεοπλασματικά, καρδιακή ανεπάρκεια. Σε καρδιακή ανεπάρκεια, η πλευριτική συλλογή εντοπίζεται συνήθως δεξιά ή αμφοτεροπλεύρως. Εγκυστωμένο υγρό στην υπεζωκοτική κοιλότητα μπορεί να παρατηρηθεί σε περιπτώσεις που προϋπάρχουν συμφύσεις στην υπεζωκοτική κοιλότητα.
Προκαλεί την εμφάνιση ομοιογενούς σκίασης, η οποία σε περίπτωση μικρής ποσότητας υγρού μπορεί να καταργεί μόνο την πλευροδιαφραγματική γωνία, η οποία φυσιολογικά είναι οξεία και διαυγαστική. Σε μεγαλύτερη ποσότητα υγρού εμφανίζεται σκίαση ομοιογενής. Το άνω όριο της σκίασης αυτής μπορεί να είναι ασαφές και είναι κοίλο, ενώ στο πλάγιο τμήμα του έχει φορά προς τα άνω και έξω. Για να διακρίνεται μία πλευριτική συλλογή στην οπισθοπρόσθια ακτινογραφία, πρέπει η ποσότητα του υγρού να είναι ≥ 200 ml. Αίτια πλευριτικής συλλογής υγρού: φλεγμονώδη (πνευμονία), τραυματικά (αιμοθώρακας, χυλοθώρακας), νεοπλασματικά, καρδιακή ανεπάρκεια. Σε καρδιακή ανεπάρκεια, η πλευριτική συλλογή εντοπίζεται συνήθως δεξιά ή αμφοτεροπλεύρως. Εγκυστωμένο υγρό στην υπεζωκοτική κοιλότητα μπορεί να παρατηρηθεί σε περιπτώσεις που προϋπάρχουν συμφύσεις στην υπεζωκοτική κοιλότητα.
Πνευμοθώρακας: στο πάσχον ημιθωράκιο περιφερειακά και
προς τα άνω, διακρίνεται περιοχή διαυγαστική (μαύρη), εντός της οποίας δεν
υπάρχουν οι φυσιολογικές γραμμοειδείς απεικονίσεις των πνευμονικών αγγείων.
Αυτό συμβαίνει επειδή πρόκειται για αέρα που έχει εισχωρήσει εντός του
πάσχοντος ημιθωρακίου και προκαλεί βαθμό συμπίεσης του πνεύμονα. Ο πνεύμονας
φαίνεται πιο πυκνός από το φυσιολογικό, ενώ διακρίνεται σαφώς τα όριο μεταξύ
του πνεύμονα και του αέρα. Επίσης συχνά υπάρχει παρεκτόπιση του μεσοθωρακίου
προς το υγιές πλάγιο.
Ασθενής 60 ετών με ιστορικό καπνίσματος, χωρίς αξιόλογα ευρήματα από την αντικειμενική εξέταση, υπεβλήθη σε ακτινογραφία θώρακα λόγω βήχα. Υπάρχει κάποιο εύρημα ; Ποια είναι η πιθανότερη διάγνωση και τι περαιτέρω έλεγχος χρειάζεται
Απάντηση
Παρατηρείται εντοπισμένη σκίαση στην περιοχή της δεξιάς πύλης κοντά στο δεξιό καρδιακό χείλος με σχετικά ασαφή όρια. Η πιο πιθανή διάγνωση είναι ο καρκίνος του πνεύμονα. Η περαιτέρω διερεύνηση σε περιπτώσεις υποψίας για καρκίνο γίνεται αρχικά με αξονική τομογραφία θώρακα και στη συνέχεια με βιοψία.
Στη συγκεκριμένη περίπτωση επρόκειτο για αδενοκαρκίνωμα πνεύμονα.
(Από Radiopaedia.org)
Αίτια διόγκωσης της καρδιακής σκιάς στην ακτινογραφία θώρακα
1 Μεγάλη διάταση του αριστερού κόλπου (πχ σε νόσο της
μιτροειδούς βαλβίδας)
2. Διάταση της αριστερής κοιλίας , σε σοβαρή συστολική
δυσλειτουργία της αριστερής κοιλίας συνεπεία παλαιότερου εμφράγματος ή
διατατικής μυοκαρδιοπάθειας, ή από σοβαρή βαλβιδοπάθεια με υπερφόρτιση όγκου
της αριστερής κοιλίας (σοβαρή ανεπάρκεια αορτικής ή μιτροειδούς βαλβίδας).
3. Διάταση των δεξιών καρδιακών κοιλοτήτων (πνευμονική
υπέρταση, σοβαρή ανεπάρκεια τριγλώχινας ή πνευμονικής βαλβίδας, έμφραγμα δεξιάς
κοιλίας, μεγάλη μεσοκολπική επικοινωνία)
4. Περικαρδιακή συλλογή υγρού
5 Ψευδής μεγαλοκαρδία: όταν η ακτινογραφία θώρακα
δίνει την εντύπωση διάτασης της καρδιάς (αυξημένου καρδιοθωρακικού δείκτη)
χωρίς να είναι η καρδιά πραγματικά διογκωμένη. Αυτό συμβαίνει σε αδυναμία λήψης
βαθιάς εισπνοής, πχ λόγω ανόδου του διαφράγματος σε παχυσαρκία, μεγάλη
ποσότητα ασκιτικού υγρού, κύηση (βέβαια στην κύηση κατά κανόνα αποφεύγεται η
ακτινογραφία, εκτός αν είναι εντελώς απαραίτητο και αν πραγματοποιηθεί γίνεται
με κάλυψη της κοιλιάς με προστατευτικό μολύβδινο σκέπασμα). Επίσης σε κακή λήψη
της ακτινογραφίας (αριστερή στροφή), σε λήψη ακτινογραφίας με φορητό σύστημα (
όπως γίνεται πχ στις μονάδες εντατικής θεραπείας)ΕΠΙΣΤΡΟΦΗ ΣΤΟΝ ΠΙΝΑΚΑ ΠΕΡΙΕΧΟΜΕΝΩΝ ΤΟΥ ΒΙΒΛΙΟΥ
Σύνδεσμος:Βιβλίο Καρδιολογίας-Περιεχόμενα
Βιβλιογραφία και σύνδεσμοι
Σύνδεσμος Η φυσιολογική και παθολογική ακτινογραφία θώρακα
Γεώργιος Μαθιουδάκης Θεματολόγιο πνευμονολογίας (Ιστοσελίδα)
Απεικόνιση θώρακος Σύνδεσμος Απεικόνιση θώρακος
Η εργαστηριακή διερεύνηση των πνευμονοπαθειών (ethorax.gr) Σύνδεσμος http://www.ethorax.gr/assets/files/books/patakas/08.pdf
Μία σύντομη εισαγωγή στις απεικονιστικές τεχνικές konstadaras.gr Αναγνωρίζοντας τα πάντα. PDF
Voigt S. How to Read a Chest X-ray – A Step By Step Approach SSMJ;1 (2)
Σύνδεσμος How to Read a Chest X-Ray – A Step by Step Approach
Voigt S. How to Read a Chest X-ray – A Step By Step Approach SSMJ;1 (2)
Σύνδεσμος How to Read a Chest X-Ray – A Step by Step Approach
Daniel Ward CHEST X-RAY (CXR) INTERPRETATION (Geeky medics com)
Ιστοσελίδα για την ερμηνεία της ακτινογραφίας θώρακα










Δεν υπάρχουν σχόλια:
Δημοσίευση σχολίου
Τα σχόλια, η επικοινωνία και η συζήτηση είναι απολύτως επιθυμητά !
Το περιεχόμενο ανανεώνεται διαρκώς και τα σχόλιά σας με βοηθούν να κάνω βελτιώσεις.